Gallery

Geoff

Geoff’s smile was becoming increasingly uncomfortable for him. We were able to give him a brand new smile in one day at Teeth in 24 using our excellent dental implants. Geoff is smiling well now and enjoying a great new quality of life with teeth all his own.

Bonnie

Bonnie needed help. Her teeth were failing after many years of use. With Teeth in 24 we were able to give Her all new implants and permanent teeth in one day, and she is smiling great now. Bonnie is very happy with her new smile.

Mike

Mike needed help. His teeth and old implants were failing. With Teeth in 24 we were able to give him all new implants and permanent teeth in one day, and he is smiling big now. He said this is the best thing he has ever done for himself.

Jeanne

Jeanne needed help. She had a big holiday family trip to Austria planned and her top teeth broke beforehand. With upper Teeth in 24 implants we were able to give her a small Christmas miracle!

Eli

Eli needed help. At age 32, he couldn’t smile anymore and his teeth were breaking down from neglect and too many energy drinks. By day he runs a successful construction company. We could not save his teeth due to too much damage. In 1 day we were able to do Teeth in 24 full mouth implants. He is a new man now with his new smile.

Gary

After years of pain, embarrassment, and hopelessness from failing dentures and implants, Gary finally found life-changing help with Dr. Lampee’s Teeth in 24 treatment. In just one surgery, he regained his confidence, freedom, and joy—no more medications, no more hiding, just a brand-new life and smile.

Rodney

Rodney couldn’t look at himself in the mirror anymore. He didn’t want to be social. Going out in public gave him anxiety and panic attacks. His teeth were too far gone to save so with Teeth in 24 we totally changed Rodney’s life in 1 day. He has his confidence back. Totally life changing.

Randy

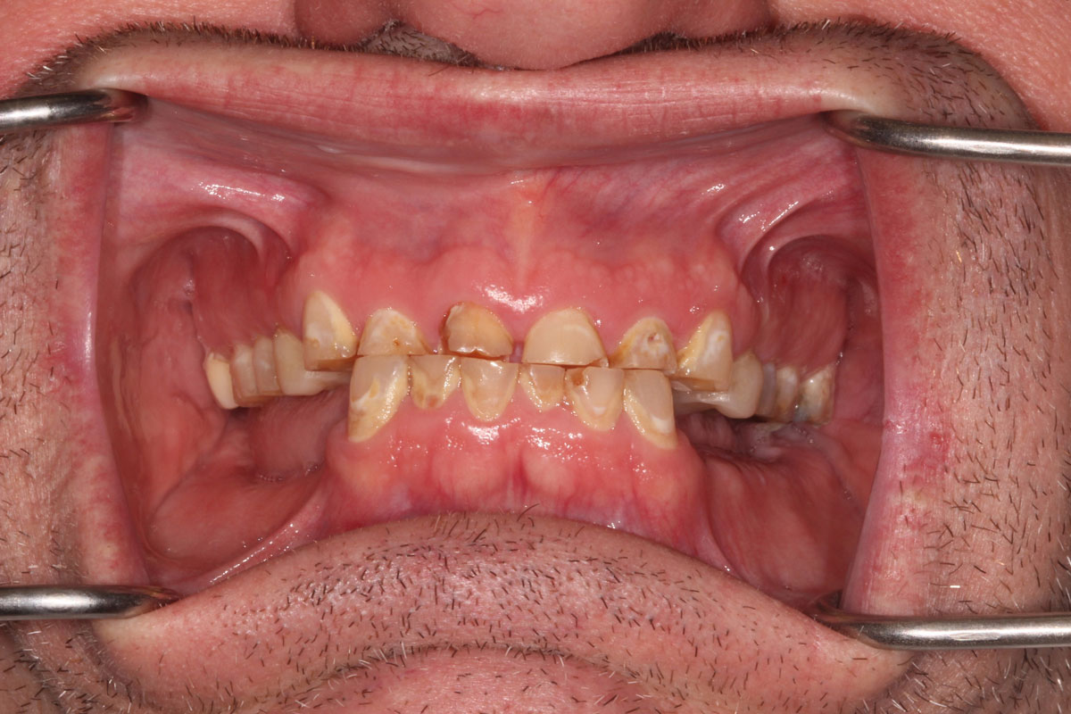
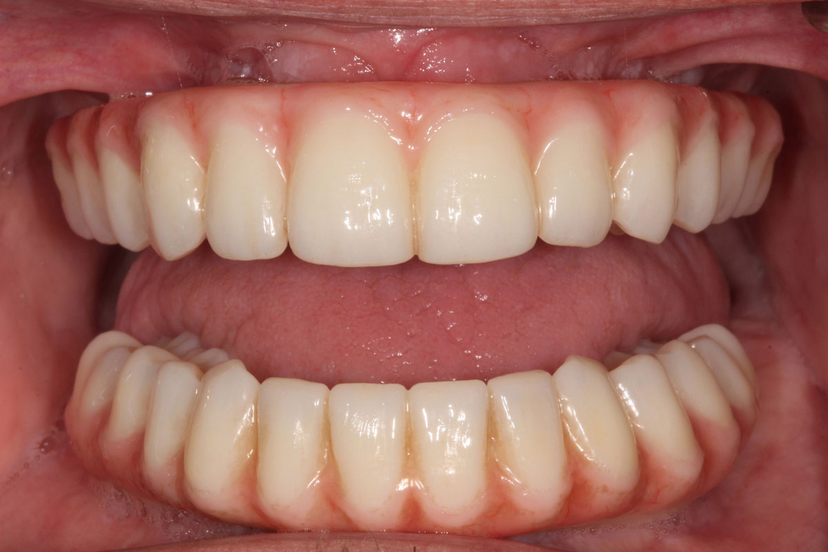
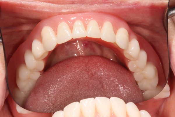
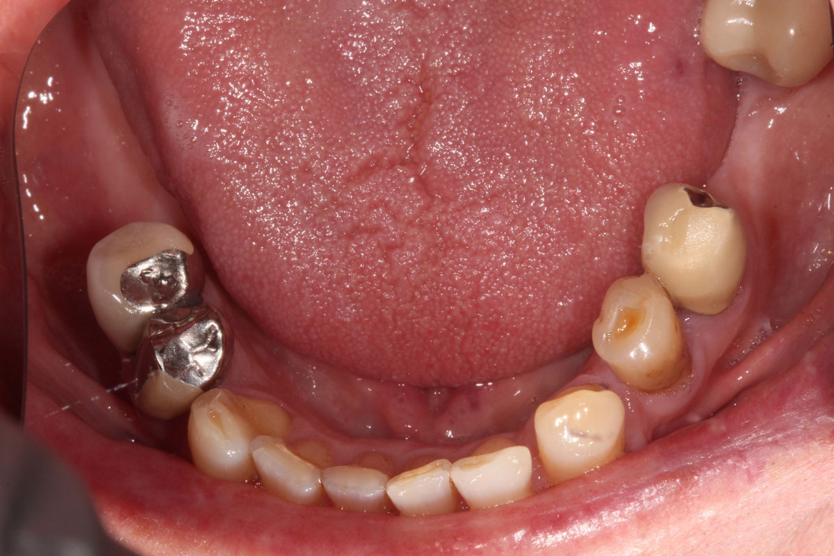
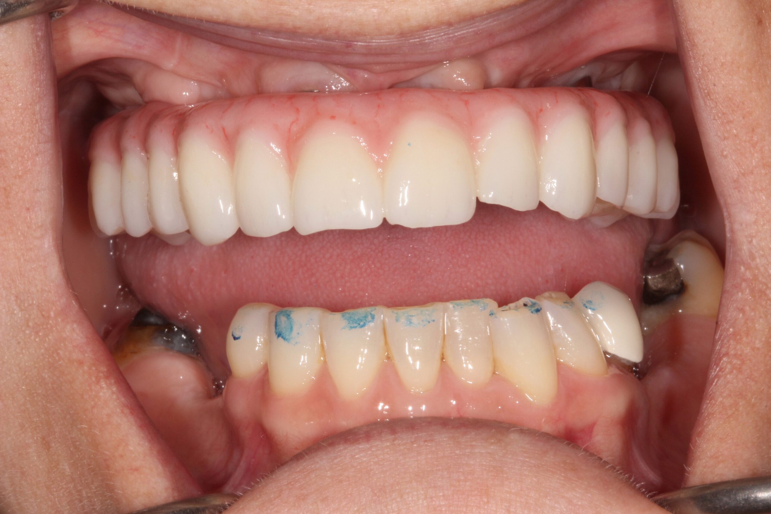
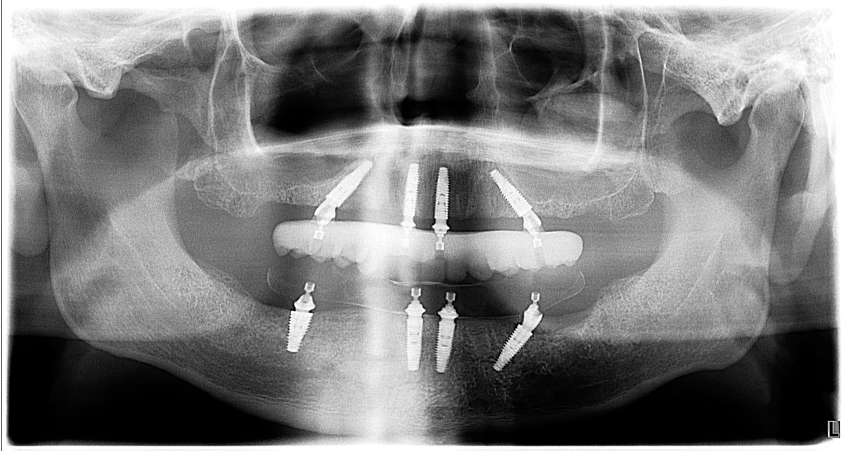
Randy had a very unique case. He had throat cancer several years ago that required a lot of radiation treatment to his throat and lower jaw. The radiation treatments caused him to have severe dry mouth and eventually his teeth became so weak and cavity ridden that they were not salvageable. Because of the radiation treatment to the back of the lower jaw we made the clinical decision to leave his very back molars and one premolar. We were trying to avoid radiation induced osteoradionecrosis of the jaws (RIONJ) here, which is a condition where bone doesn’t heal and becomes chronically infected.

In one day we removed the bad teeth, placed 4 implants on the top, 4 implants on the bottom, did a permanent porcelain bridge on his lower left, and a filling in the rear molar on his lower right. We totally redid his smile and bite. He loves his teeth and he had totally uneventful healing (no RIONJ).

Another amazing result.

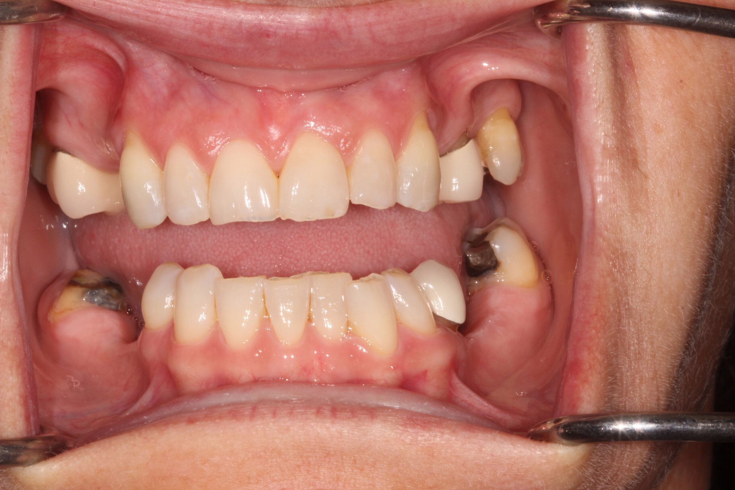
Dick

Dick had a fall and broke his lower teeth and also fractured his top front central incisor. He needed to be put back together! In one surgery we were able to do full lower implants on his bottom jaw, and on the top jaw we removed his fractured upper front tooth and did a permanent porcelain bridge. He loves his new smile.

Emma

Emma had trauma to her front teeth as a small child. She had some dental work done as a teenager that was discoloring and needed it fixed to improve her smile. Her front tooth was very stained from an old root canal, which we had to cover up and mask. With 3 veneers and 1 crown we were able to straighten her front teeth, hide the stained teeth, and give her back her smile. We worked with our onsite lab for custom color matching here. We were able to be totally done with this case in 1 week from start to finish.

Frank and Jason (Father & Son)

Frank and his son Jason both came to Dr. Lampee for All-on-4 implants at the same time. They had visited another clinic but left with uncomfortable vibes and a hard sales pitch. What they really wanted was someone they could trust. We completed their Teeth in 24 treatment, and now they’re both healthy, confident, and smiling again. What an incredible transformation!

Kimberly

Kimberly needed a new smile. Cavities and gum disease has ruined her teeth. Teeth in 24 implants with Dr. Lampee changed all of this in just a day.

Dot and Dan

Dot and Dan are another husband and wife that trusted Dr. Lampee and Teeth in 24 for their new smiles. They came all the way from Missouri to have their implants done.

Lisa

Lisa needed new teeth due to infections from gum disease. Teeth in 24 and Dr. Lampee changed her life.

Doris

Doris had dentures for 60 years! Her husband Mike saw us for full implants a year ago and once she saw the change in his life and eating ability– she wanted to get implants too. This was a very advanced case: we had to do zygomatic cheek bone implants, pterygoids implants, and implants in the floor of the nose. She is just thrilled with the results. Teeth in 24 does it again! Husband and wife are both very happy with their implants.

Pam

Pam’s teeth were worn, stained, and had tons of cavities.  With Teeth in 24 we changed all of this in 1 day!

Tamara

Tamara’s teeth were worn and broken and dark colored.  With Teeth in 24 implants we were able to change all of this in just 1 day!

Michael

Michael needed help. He had learned how to hide his smile for 20 years. His gum disease finally got to the point where his teeth needed to be removed. There was so much infection. With Teeth in 24 and Dr. Lampee, Michael got a whole new healthy smile in just one day. This has totally changed his life. He is also a musician, and his singing is still great!

Steve

Steve came from the coast, and he wanted the best dentist for his new smile. His teeth were in bad shape from severe gum disease. With Teeth in 24 we were able to transform his smile and health in 1 day. We did 6 implants per jaw for the strongest teeth possible.

Joe

Joe needed help. His teeth were worn down from grinding and chewing tobacco. He also had a bulldog underbite. He was also pretty nervous due to a sensitive gag reflex. With sedation and Teeth in 24 we were able to crown his upper teeth and redo his lower jaw with implants to give him better aesthetics and a proper bite- all in 1 day! He loves his new smile and can eat what he wants.

Steve

Steve needed help. He had bad teeth his whole life and finally wanted to fix them right and smile again. Other dentists had even told him he didn’t have enough bone for implants. In one day we were able to remove his remaining teeth, place 4 implants in the lower jaw, 6 implants (including advanced pterygoid implants) in his upper. He loves his new smile.

Todd

Todd needed new teeth. He had been to other offices for implants consults but felt very uncomfortable at those offices due to high pressure and lack of clinical experience. He found the right fit at Teeth in 24 with Dr Lampee.

In 1 day we were able to completely redo his worn smile and missing teeth. He had struggled with broken teeth and grinding for decades. He feels like a new person now. There’s new confidence with his new smile.

Marianne

Marianne had upper failing teeth. She also had a lower snap in denture that would not stay connected. With teeth in 24 we changed her life in 1 day with permanent implants. She originally only thought about doing half her mouth the realized it was best to do the whole thing to get it done the right way and have an amazing smile.

Eric

Eric needed a new smile. His teeth were worn and decayed. Teeth in 24 changed his life in a day.

Veronica

Veronica needed a new smile due to cavities and missing teeth.  We focused on her upper teeth first.  Teeth in 24 changed her life.

Kammie

Kammie needed new teeth. Teeth in 24 changed her life in just about a day. She loves her new smile.

Dave

Dave struggled with a bad bite and poor aesthetics his whole life. He did do braces as a teenager but his teeth moved back to where they were. Oral surgeons wants to break his jaws to realign his teeth too. With the Teeth in 24 approach we were able to fix all of his jaw and bite problems and give him perfect aesthetics in just one easy surgery. Life changing!

Bob

Bob needed new teeth. His bite was collapsed, his teeth were unaesthetic, and the teeth were very decayed. With Teeth in 24 Implants we all changed all of this in just about a day!

Walt

Walt needed new teeth.  With Teeth in 24 he got a whole new smile and can finally eat steak and corn on the cob again…something he couldn’t do for 20 years.  What a difference a day makes!

Barbara

Barbara had broken teeth and old failing implants. She had lost hope. Other dentists did not know how to help her. With our Teeth in 24 we were able to give her a healthy, beautiful smile in a day. What a difference it has made in her life.

Faye

Faye needed help. Her teeth were worn, stained and many were missing. We did top crowns for her and on her lower we did teeth in 24 permanent implants.

Gale

Gale loves her new full mouth implants

Randy

Randy needed help. His mouth was falling apart. He had another dentist fix his lower teeth but it failed. When he came to see us we had to redo his lowers and do his uppers too. He now has beautiful Teeth in 24 implants on the top and bottom. He can smile and eat again.

Robert

Robert needed new teeth due to severe gum disease. He got Teeth in 24 permanent implants and his smile is amazing and is health is better.

Robin

Robin’s teeth were failing and broken and decayed and with Teeth in 24 permanent implants she got a new smile in a day. What a change for her life.

Janelle

Janelle just loves her new smile with our Teeth in 24 permanent implants.

Kayla

Kayla needed new teeth due to tooth decay and dry mouth. With Teeth in 24 implants Dr. Lampee was able to give her a healthy, beautiful new smile.

Craig

Craig needed help. His teeth were missing or seriously broken down. With Teeth in 24 dental implants he is a new man with a great smile!

Carrie

Carrie got Teeth in 24 implants due to severe gum disease. Her new smile is healthy and beautiful.

Margaret

Margaret’s upper teeth were broken down and decayed. With Teeth in 24 permanent implants she got her confidence back.

Marita

Marita just got her All on 4 implants is loving her new smile.

Ron

Ron’s teeth were broken down and infected. With Teeth in 24 implants he now has a healthy mouth and a whole new smile. What a difference a day can make.

Shirley

Shirley got full mouth dental implants.

Tom

Tom needed a new mouth. With Dr. Lampee’s Teeth-in-24 implants he got it!

Tosh

Tosh got new implants and he can finally smile!

Tyland

Tyland needed new teeth and with Teeth in 24 implants we changed his smile and life!

Zach

Zach needed our help. He always hated his teeth and due to severe cavities and poor aesthetics they needed to come out. In one day with Teeth in 24 we were able to change his life with permanent implants on the top and bottom. He said this is the best thing he has ever done in his life.

Barbara

Christy